
本来人間は鼻 で呼吸するものですが、運動時など酸素必要量が増えたときは口で呼吸します。
補助的に口で呼吸をおこなう場合は問題ありませんが、
耳鼻疾患により鼻がつまりやすいため日常的に口を開けて呼吸(口呼吸)をしているお子様では
頭位、顎、舌の姿勢位に変化が生じて、その結果、顎骨の成長や歯列の形態に影響を与えます。
アレルギーや慢性の感染症による鼻粘膜の炎症がおこす鼻閉塞や扁桃腺の肥大は口呼吸を助長します。
扁桃腺には種類があり、なかでも口を大きく開けたときに
口の中の左右の奥に認められる口蓋扁桃、側面からみたレントゲンで確認できる咽頭扁桃(アデノイド)は
肥大すると息の通りを悪くします。
扁桃腺はもともと子供では大きく年齢とともに小さくなるのですが、
これが病的に大きい場合では喉が腫れやすい、熱がでやすいといった症状が認められます。
顔の形についても下顎が下がって顔が細長くなり、前歯が突出して上下で咬まないといった
いわゆるアデノイド様顔貌になることがあります。
この場合、上顎歯列の狭窄(上の歯列が狭くなる)が多く認められ、
舌突出癖(上下の前歯の隙間に舌を突出させる悪習癖)をともなう場合もあります。
呼吸は顔の形、咬みあわせに影響を及ぼします。
矯正治療と並行して、耳鼻科にて鼻疾患や扁桃腺の管理を依頼することがありますが、
これは長期の咬合の安定を得るために大事なことなのです。
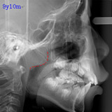
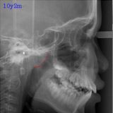
アデノイドの大きさについて
左はほぼ正常の状態で、わずかな腫れが認められますが問題ありません。
真ん中は軽度の腫れで、気道(空気の通り道)を少しふさいでいます。この場合は経過観察、または必要があれば耳鼻科で管理していただきます。
右は腫れが強く、気道をふさいでいます。この状態では鼻呼吸が困難であり、歯列、顔面発育にも影響がでる可能性が大きくなります。耳鼻科での治療を強くお勧めます。

上へ戻る
歯の数に問題がなければ、乳歯(子供の歯)20本が生え変わり、
12歳頃には永久歯(大人の歯)28本になります。
しかし更にその奥には第3大臼歯(親知らず)が存在します。
自然に生えてくれば良いのですが、歯が凸凹に並んでいるような歯列では隙間が足りず、
埋まったままの場合が多く見受けられます。
第3大臼歯の存在により、その手前にある第1大臼歯(6才臼歯)、
第2大臼歯(12才臼歯)が前向きに傾斜したり、押出されたり、
また稀にですが根を吸収されて歯がダメになってしてしまうこともあります。
第3大臼歯の発育は骨の成長にも影響を与え、
特に反対に咬んでいる患者さんでは上下の骨のズレを憎悪させる傾向があります。
第3大臼歯は特に下顎では横向きに埋まっている(水平埋伏)こともあり、
この場合は口腔外科の専門の病院で抜歯をお願いすることになります。
一般に第3大臼歯は3〜4歳頃から歯胚(歯のもとになる小さな袋)の形成が始まり、
7〜10歳頃に石灰化(硬い部分が作られること)が始まり除々に歯の形となっていきます。
石灰化がまだ初期の段階ならば、歯胚を摘出することにより、
その後引き起こされる問題を軽減することができます。
歯になる前の段階ですから、抜いた後の身体的負担も少なくてすみ、
術式も15〜30分程度ですみます。当院では歯胚摘出術を不正咬合の予防に有効であると考えており、
対象となる患者さんの同意のもとで積極的におこなっております。
歯胚の石灰化が進んでしまっている場合は摘出術が無理な場合もありますのでご相談ください。
歯胚摘出術を行う利点
・奥歯の向きを正常に保ち、咬合を安定することができる。
(歯胚摘出をおこなった方が第2大臼歯の傾斜の割合が少なくなる報告有り)
・第3大臼歯(親知らず)が大きくなってから抜歯する場合よりも負担が少なくてすむ。

X線写真の赤丸で囲んだ部分が第3大臼歯(親知らず)の歯胚です。
歯胚摘出として骨を削らずに取り出せるのはこの段階(stage2)までです。
これ以上歯が大きくなると骨を削ってとる抜歯になります。

歯胚の中身は将来エナメル質になるエナメル器と象牙質、
歯髄になる歯乳頭からなります。それらの周りを歯小嚢が覆っています。
上へ戻る