
・・・ 矯正に関する治療 ・・・
歯列弓内で一部の歯が喪失すると、そのスペースを埋めるために、
周りの歯が寄ってきて歯列弓は小さくなります。
乳臼歯(子供の歯の奥歯)が早期に喪失すると第一大臼歯(大人の歯の奥歯の一番手前の歯)は
近心傾斜(前方に傾くこと)を起こし、前歯の正中(左右前歯の真ん中の位置)も隙間のある側へ移動します。
虫歯などによる乳歯の早期喪失は不正咬合を増悪させます。
隙間を維持するためにクラウンループあるいはバンドループなどの保隙装置を用いて
歯列が小さくなるのを防ぎ、後から永久歯が生えてくるのを待ちます。
また乳歯が晩期残存で抜けずに残っていると、
後から生えてくる永久歯が外側や内側から曲がって生えてくることがあります。
適切な時期に抜歯をおこなうことにより、不正咬合の原因を減らし、
増悪させないようにするためのある程度のコントロールができます。
しかし顎が小さく歯列が狭いために歯が並ばないようなときは矯正歯科で相談を受けてください。
乳歯が早期に喪失したときは歯が抜けた隙間を維持しなければ奥歯が前に寄ってきて歯列を狭くします。
左の写真は永久歯が生えてくるまで隙間を維持するクラウンループです。
隙間を維持しないと中央の写真のように奥歯が前に倒れて寄ってきます。

逆に乳歯が抜けずに残っていると右の写真のように
永久歯の位置がずれたり、曲がって生えてくることになります。
倒れたり、高いところから落ちて歯を強く打つことがあります。
特に子供で永久歯の歯胚(歯のもと)の形成期に傷がついたり位置が変わると、
萌出後の歯の歯冠や歯根の形態異常を起こすことがあります。
また歯が抜けてしまった場合は、隙間へ近くの歯が寄ってきます。
永久歯への直接の外傷から神経が死んでしまうこともあります。
この場合は後日、根管の中の治療が必要になります。
事故の直後なら、できるだけ早く汚染されずに歯を元の位置に戻すことが必要です。
完全に抜けたときは歯を水(あれば牛乳)につけて、
すみやかに歯科医院を受診してください。
事故から時間がたっていると元の位置に戻せなくなることもあります。
また歯と骨が骨性癒着を起こしてくっついてしまうと矯正治療で歯が動かなくなることがあります。
唇や頬の内面と歯ぐきの間に伸びるスジを小帯と呼びます。
小帯には、上唇小帯、下唇小帯、頬小帯(上下左右)、舌小帯があります。
このなかでも付着位置の異常が認められることが多いのは上唇小帯と舌小帯です。
上唇小帯は生下時には歯槽提縁(歯茎の先の方)に付着していますが、
乳歯の萌出と歯槽骨の発育により付着部は上方に移動し、小帯の幅も狭くなっていきます。
ところが付着位置が低く、幅も広いままだと正中離開(前歯の間に隙間ができる状態)の原因となります。
小帯を伸ばす訓練をおこない改善すれば良いのですが、
重度のものでは離開を閉じた後で再発しないようにするために、小帯付着を外科的に切除する必要もあります。
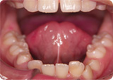
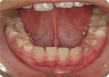
舌小帯は乳児期には舌尖部についています。成長とともに付着は舌下部のほうに移動します。
ところが発育後も付着位置が舌尖部のままですと
舌の挙上困難による発音障害、構音障害、食物摂取障害、嚥下障害がおこります。
舌を上に挙げたり、前に出した時に舌尖の中央が陥凹してハート型になるようなら
舌小帯の付着位置異常が疑われます。
小帯を伸ばす訓練をおこない、重度のものでは小帯付着を外科的に切除する必要もあります。
こうした軟組織部の異常を取り除くことも良く咬め、発音できるためには大事なことです。
左は正常な上唇小帯です。右は上唇小帯の低位付着が認められます。

低位付着のため前歯の間に小帯が入り込み隙間ができます。
小帯を治しておかないと、矯正治療で隙間を閉じてもまた開いてくる原因になり ます。
左は正常な舌小帯です。右は舌小帯の低位付着により舌の挙上が困難になっています。

重度なものでは発音や嚥下(飲み込む動作)に影響を及ぼします。