
![]()
永久歯の先天欠如(もともと歯がない)は
上顎側切歯(上の前から2番目の歯)と下顎第2小臼歯(下の前から5番目の歯)に最も多く認められます。
また上顎側切歯には尖状歯(歯が円錐状の形をしている)とよばれる形態異常が時々認められます。
「場の理論」という考えがあり、たとえば前歯では1番前の歯(中切歯)と2番目の歯(側切歯)を比較すると後ろにある側切歯の方が小さく、形態異常の比率が高くなります。
また奥歯でも第1大臼歯(6歳臼歯)と第2大臼歯(12歳臼歯)では後ろにある第2大臼歯の方が小さく、
さらに後ろの第3大臼歯(親知らず)は生えてこないこともあります。
側切歯や第2小臼歯に先天欠如が多いのもこうした理由によるものと考えられます。
歯の形態が小さいことや先天欠如により、奥歯が前に倒れこんできたり、
前歯が片側にずれて顔の真ん中と合わなくなったりすることがあります。
倒れた歯を起こしたり、隙間をつめたり、最終的に残った隙間を補綴物で埋めるといった治療計画を
最終的な咬みあわせを考えながらたてる必要があります。
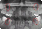
右の写真は上下左右第2小臼歯(前から
側切歯(前から2番目の歯)の形態が異なります。青丸部分![]()
歯が動くときに体の中ではどのような事が起きているのでしょうか?
まず歯の周りの組織について説明します。歯は骨(歯槽骨)から生えています。
歯の根の部分(歯根)と歯槽骨の間には歯根膜とよばれる繊維状の組織が存在します。
この歯根膜は物を咬んだ時にその硬さなどを感知する圧力センサーとしての機能も持っており、
咬む強さ等を自動的にコントロールする大事な役目を果たしています。
さて歯に矯正力が加わると片側の歯根膜は伸び、反対側の歯根膜は圧縮されます。
そうすると歯槽骨の表面に変化が起きます。
伸びた歯根膜の先の歯槽骨面上では骨芽細胞と呼ばれる骨の元になる細胞が現れ、
歯槽骨を新しく造っていきます。
圧縮された歯根膜の歯槽骨面上では破骨細胞と呼ばれる骨を溶かす細胞が現れ
歯槽骨を吸収していきます。
こうした変化は自然の状態でも成長にともないおこなわれているものです。
矯正力をかけることにより部分的に変化を与え、徐々に歯槽骨の中を歯が移動していくのです。
歯を動かすには適正な矯正力があり、強い力をかけたから歯が早く動くというものではありません。
強い力がかかると歯根膜に変性組織が生じたり、歯根の吸収をおこすといった障害がおきます。
患者様の中には早く動かしてほしいと希望される方もいらっしゃいますが、
上記内容を説明しご理解をいただいております。
適正な力で組織変化をおこして歯を動かしていくことが最も望ましいのです。
![]()
矯正治療では弱い力でゆっくりと歯を動かしていくことが望ましいのですが、
治療期間をできるだけ短くすることを希望する患者様もいらっしゃいます。
基本的に矯正治療に用いる歯を動かす力は一緒ですが併用する方法により治療時間の短縮が可能です。
ひとつはコルチコトミーという方法で口腔外科にて歯槽骨表面の硬い部分(皮質骨)に切れ込みを入れておいて、
それから通常通りに矯正装置で歯を動かします。
通常の治療より何パーセントかは早く歯が動くと報告されています。
また歯科矯正用アンカースクリューと呼ばれる小さなピンを歯槽骨に打ち込み、
これを土台として効率的に歯を動かす方法もあります。
この方法は他の歯に影響を与えずに動かしたい歯だけに力を加えることができるため、
矯正装置による治療期間を短縮することができます。
治療期間の短縮をお考えの患者様は一度、矯正歯科にてご相談ください。
![]()
指しゃぶり(吸引癖)は乳児〜幼児前半ではほとんどの子供に認められます。
しかしこれが長期にわたっておこなわれると、咬合異常が形成されることがあります。
主なものとしては前歯部開咬(上下の前歯の間に隙間がある)、
上顎歯列の狭窄(上の歯列が狭くなる)があります。
また舌前突型嚥下(タングスラスト)も咬合異常に関係しておこります。
これは飲み込むときに舌が突き出されて上下の前歯の間に入り込む動作をおこなうものです。
他にも咬唇癖、咬爪癖等の悪習癖が歯列に影響をおよぼします。
こうした悪習癖を残しておくと矯正治療後にせっかく綺麗になった歯並びが後戻りをおこす原因となります。
長期的にかみ合わせを安定させるためには矯正治療と併行して悪習癖を除去していくことも大切です。
「指しゃぶりがいつまでたっても治らないがどうした良いのか?」このようなご相談を受けることがありますが、
その際はお子様の発育段階に応じた悪習癖除去の指導についてお話いたします。
たとえば幼稚園や保育所で友達と遊ぶようになった段階とその前後では指導内容が異なります。
お子様の年齢、発育、周囲の環境に応じた指導が必要となってきます。
どの段階でも言えるのですが、ご両親が心配されるあまりに神経質になって
逆にお子様に対してプレッシャーを与えないようにすることは大事です。
お子様の対人関係の芽生えや外で遊ぶようになることを利用して、
少しずつ指しゃぶりから離れる機会を増やしてあげて、自然に改善させるのが最も良いと思われます。
またお子様が指しゃぶりの悪影響を理解して自覚し、自分で治そうとする意思があるようなら、
積極的に「指しゃぶりをなくすためのトレーニング」や「習癖除去装置」の使用を始めても良いでしょう。
頻繁に指しゃぶりをすることにより前歯が咬まない「開咬」等の咬みあわせの異常があるようなら、
矯正歯科医院を受診して相談してください。
左の写真は舌癖除去装置(タングクリブ)です。
舌が前方に出て前歯の間に入るのを防ぎます。
またこの装置を利用して指しゃぶりの防止に
用いることもあります。
指しゃぶりをしているお子様の場合、主に親指に吸いだこや皮膚の荒れた部分が認められます。
どういう時に指しゃぶりをしているのかを観察し、担当医に伝えてください。